Smile Gallery
Welcome to our Smile Gallery. Please enjoy some of our amazing smile transformations.
Restorations
Bad breath (halitosis) can be an unpleasant and embarrassing condition. Many of us may not realize that we have bad breath, but everyone has it from time to time, especially in the morning. There are various reasons one may have bad breath, but in healthy people, the major reason is due to……
Crown (Caps)
Before
After
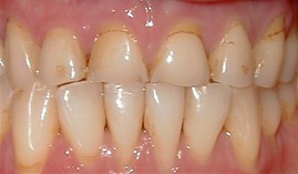
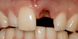
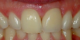
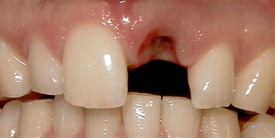
Before: Patient needs a Single Tooth Replacement of one Upper Central Incisor.
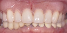
After: Smile and function restored with a Single Implant and an All Porcelain Crown (Cap) that fits securely over the implant.
Patient Photos Depicting:
Crowns (Caps)
A crown (or cap) is a covering that encases the entire tooth surface, restoring it to its original shape and size. A crown protects and strengthens tooth structure that cannot be restored with fillings or other types of restorations.
Although there are several types of crowns, porcelain (tooth colored crown) are the most popular. They are highly durable and will last many years, but like most dental restorations, they may eventually need to be replaced. Porcelain crowns are made to match the shape, size, and color of your teeth, giving you a long-lasting, beautiful smile.
Reasons for crowns:
- Broken or fractured teeth.
- Cosmetic enhancement.
- Decayed teeth.
- Fractured fillings.
- Large fillings.
- Tooth has a root canal.
What does getting a crown involve?
A crown procedure usually requires two appointments. Your first appointment will include taking several highly accurate molds (or impressions) that will be used to create your custom crown. A mold will also be used to create a temporary crown which will stay on your tooth for approximately two weeks until your new crown is fabricated by a dental laboratory.
While the tooth is numb, the dentist will prepare the tooth by removing any decay and shaping the surface to properly fit the crown. Once these details are accomplished, your temporary crown will be placed with temporary cement and your bite will be checked to ensure you are biting properly.
At your second appointment, your temporary crown will be removed, the tooth will be cleaned, and your new crown will be carefully placed to ensure the spacing and bite are accurate.
You will be given care instructions and encouraged to have regular dental visits to check your new crown.
Dental Implants
Dental implants are a great way to replace missing teeth and also provide a fixed solution to having removable partial or complete dentures. Implants provide excellent support and stability for these dental appliances.
Dental implants are artificial roots and teeth (usually titanium) that are surgically placed into the upper or lower jaw bone by a dentist or Periodontist – a specialist of the gums and supporting bone. The teeth attached to implants are very natural looking and often enhance or restore a patient’s smile!
Dental implants are strong and durable and will last many years. On occasion, they will have to be re-tightened or replaced due to normal wear.
Reasons for dental implants:
- Replace one or more missing teeth without affecting adjacent teeth.
- Resolve joint pain or bite problems caused by teeth shifting into missing tooth space.
- Restore a patient’s confident smile.
- Restore chewing, speech, and digestion.
- Restore or enhance facial tissues.
- Support a bridge or denture, making it more secure and comfortable.
What does getting dental implants involve?
The process of getting implants requires a number of visits over several months.
X-rays and impressions (molds) are taken of the jaw and teeth to determine bone, gum tissue, and spacing available for an implant. While the area is numb, the implant will be surgically placed into the bone and allowed to heal and integrate itself for up to six months. Depending on the type of implant, a second surgery may be required in order to place the “post” that will hold the artificial tooth in place. With other implants the post and anchor are already attached and placed at the same time.
After several weeks of healing the artificial teeth are made and fitted to the post portion of the anchor. Because several fittings may be required, this step may take one to two months to complete. After a healing period, the artificial teeth are securely attached to the implant, providing excellent stability and comfort to the patient.
You will receive care instructions when your treatment is completed. Good oral hygiene and eating habits, alongside regular dental visits, will aid in the life of your new implant.
If you have questions about dental implants or would like to schedule a consultation, please contact our office.
Note: Patients depicted in photos have provided their consent to display their pictures online. Results may vary.
Before
After
Before
After
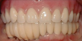
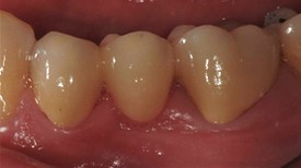
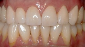
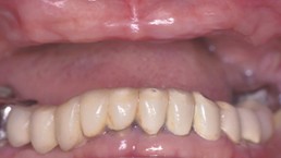
Before: Patient needs Upper and Lower Arch Rehabilitation.
After: Great smile, chewing function, and facial tissue support possible with an Upper Denture that is supported with Implants and Lower Implants and Crowns.
Patient Photos Depicting:
Crowns (Caps)
A crown (or cap) is a covering that encases the entire tooth surface, restoring it to its original shape and size. A crown protects and strengthens tooth structure that cannot be restored with fillings or other types of restorations.
Although there are several types of crowns, porcelain (tooth colored crown) are the most popular. They are highly durable and will last many years, but like most dental restorations, they may eventually need to be replaced. Porcelain crowns are made to match the shape, size, and color of your teeth, giving you a long-lasting, beautiful smile.
Reasons for crowns:
- Broken or fractured teeth.
- Cosmetic enhancement.
- Decayed teeth.
- Fractured fillings.
- Large fillings.
- Tooth has a root canal.
What does getting a crown involve?
A crown procedure usually requires two appointments. Your first appointment will include taking several highly accurate molds (or impressions) that will be used to create your custom crown. A mold will also be used to create a temporary crown which will stay on your tooth for approximately two weeks until your new crown is fabricated by a dental laboratory.
While the tooth is numb, the dentist will prepare the tooth by removing any decay and shaping the surface to properly fit the crown. Once these details are accomplished, your temporary crown will be placed with temporary cement and your bite will be checked to ensure you are biting properly.
At your second appointment, your temporary crown will be removed, the tooth will be cleaned, and your new crown will be carefully placed to ensure the spacing and bite are accurate.
You will be given care instructions and encouraged to have regular dental visits to check your new crown.
Dental Implants
Dental implants are a great way to replace missing teeth and also provide a fixed solution to having removable partial or complete dentures. Implants provide excellent support and stability for these dental appliances.
Dental implants are artificial roots and teeth (usually titanium) that are surgically placed into the upper or lower jaw bone by a dentist or Periodontist – a specialist of the gums and supporting bone. The teeth attached to implants are very natural looking and often enhance or restore a patient’s smile!
Dental implants are strong and durable and will last many years. On occasion, they will have to be re-tightened or replaced due to normal wear.
Reasons for dental implants:
- Replace one or more missing teeth without affecting adjacent teeth.
- Resolve joint pain or bite problems caused by teeth shifting into missing tooth space.
- Restore a patient’s confident smile.
- Restore chewing, speech, and digestion.
- Restore or enhance facial tissues.
- Support a bridge or denture, making it more secure and comfortable.
What does getting dental implants involve?
The process of getting implants requires a number of visits over several months.
X-rays and impressions (molds) are taken of the jaw and teeth to determine bone, gum tissue, and spacing available for an implant. While the area is numb, the implant will be surgically placed into the bone and allowed to heal and integrate itself for up to six months. Depending on the type of implant, a second surgery may be required in order to place the “post” that will hold the artificial tooth in place. With other implants the post and anchor are already attached and placed at the same time.
After several weeks of healing the artificial teeth are made and fitted to the post portion of the anchor. Because several fittings may be required, this step may take one to two months to complete. After a healing period, the artificial teeth are securely attached to the implant, providing excellent stability and comfort to the patient.
You will receive care instructions when your treatment is completed. Good oral hygiene and eating habits, alongside regular dental visits, will aid in the life of your new implant.
If you have questions about dental implants or would like to schedule a consultation, please contact our office.
Dentures & Partial Dentures
A denture is a removable dental appliance and a replacement for missing teeth and surrounding tissue. They are made to closely resemble your natural teeth and may even enhance your smile.
There are two types of dentures – complete and partial dentures. Complete dentures are used when all of the teeth are missing, while partial dentures are used when some natural teeth remain. A partial denture not only fills in the spaces created by missing teeth, it prevents other teeth from shifting.
A complete denture can be either “conventional” or “immediate.” A conventional type is made after the teeth have been removed and the gum tissue has healed (usually takes 4 to 6 weeks). During this time, the patient will go without teeth. Immediate dentures are made in advance and immediately placed after the teeth are removed, thus preventing the patient from having to be without teeth during the healing process. Once the tissues shrink and heal, adjustments will have to be made.
Dentures are very durable appliances and will last many years but may have to be remade, repaired, or readjusted due to normal wear.
Reasons for dentures:
- Complete Denture – Loss of all teeth in an arch.
- Partial Denture – Loss of several teeth in an arch.
- Enhancing smile and facial tissues.
- Improving chewing, speech, and digestion.
What does getting dentures involve?
The process of getting dentures requires several appointments, usually over a period of several weeks. Highly accurate impressions (molds) and measurements are taken and used to create your custom denture. Several “try-in” appointments may be necessary to ensure proper shape, color, and fit. At the final appointment, your dentist will precisely adjust and place the completed denture, ensuring a natural and comfortable fit.
It is normal to experience increased saliva flow, some soreness, and possible speech and chewing difficulty, however this will subside as your muscles and tissues get used to the new dentures.
You will be given care instructions for your new dentures. Proper cleaning of your new dental appliance, good oral hygiene, and regular dental visits will aid in the life of your new dentures.
Note: Patients depicted in photos have provided their consent to display their pictures online. Results may vary.
Dental Implants
Before
After
Before: Patient needs a Single Tooth Replacement of one Upper Central Incisor.
After: Smile and function restored with a Single Implant and an All Porcelain Crown (Cap) that fits securely over the implant.
Patient Photos Depicting:
Crowns (Caps)
A crown (or cap) is a covering that encases the entire tooth surface, restoring it to its original shape and size. A crown protects and strengthens tooth structure that cannot be restored with fillings or other types of restorations.
Although there are several types of crowns, porcelain (tooth colored crown) are the most popular. They are highly durable and will last many years, but like most dental restorations, they may eventually need to be replaced. Porcelain crowns are made to match the shape, size, and color of your teeth, giving you a long-lasting, beautiful smile.
Reasons for crowns:
- Broken or fractured teeth.
- Cosmetic enhancement.
- Decayed teeth.
- Fractured fillings.
- Large fillings.
- Tooth has a root canal.
What does getting a crown involve?
A crown procedure usually requires two appointments. Your first appointment will include taking several highly accurate molds (or impressions) that will be used to create your custom crown. A mold will also be used to create a temporary crown which will stay on your tooth for approximately two weeks until your new crown is fabricated by a dental laboratory.
While the tooth is numb, the dentist will prepare the tooth by removing any decay and shaping the surface to properly fit the crown. Once these details are accomplished, your temporary crown will be placed with temporary cement and your bite will be checked to ensure you are biting properly.
At your second appointment, your temporary crown will be removed, the tooth will be cleaned, and your new crown will be carefully placed to ensure the spacing and bite are accurate.
You will be given care instructions and encouraged to have regular dental visits to check your new crown.
Dental Implants
Dental implants are a great way to replace missing teeth and also provide a fixed solution to having removable partial or complete dentures. Implants provide excellent support and stability for these dental appliances.
Dental implants are artificial roots and teeth (usually titanium) that are surgically placed into the upper or lower jaw bone by a dentist or Periodontist – a specialist of the gums and supporting bone. The teeth attached to implants are very natural looking and often enhance or restore a patient’s smile!
Dental implants are strong and durable and will last many years. On occasion, they will have to be re-tightened or replaced due to normal wear.
Reasons for dental implants:
- Replace one or more missing teeth without affecting adjacent teeth.
- Resolve joint pain or bite problems caused by teeth shifting into missing tooth space.
- Restore a patient’s confident smile.
- Restore chewing, speech, and digestion.
- Restore or enhance facial tissues.
- Support a bridge or denture, making it more secure and comfortable.
What does getting dental implants involve?
The process of getting implants requires a number of visits over several months.
X-rays and impressions (molds) are taken of the jaw and teeth to determine bone, gum tissue, and spacing available for an implant. While the area is numb, the implant will be surgically placed into the bone and allowed to heal and integrate itself for up to six months. Depending on the type of implant, a second surgery may be required in order to place the “post” that will hold the artificial tooth in place. With other implants the post and anchor are already attached and placed at the same time.
After several weeks of healing the artificial teeth are made and fitted to the post portion of the anchor. Because several fittings may be required, this step may take one to two months to complete. After a healing period, the artificial teeth are securely attached to the implant, providing excellent stability and comfort to the patient.
You will receive care instructions when your treatment is completed. Good oral hygiene and eating habits, alongside regular dental visits, will aid in the life of your new implant.
If you have questions about dental implants or would like to schedule a consultation, please contact our office.
Note: Patients depicted in photos have provided their consent to display their pictures online. Results may vary.
Before
After
Before
After
Before: Patient needs Upper and Lower Arch Rehabilitation.
After: Great smile, chewing function, and facial tissue support possible with an Upper Denture that is supported with Implants and Lower Implants and Crowns.
Patient Photos Depicting:
Crowns (Caps)
A crown (or cap) is a covering that encases the entire tooth surface, restoring it to its original shape and size. A crown protects and strengthens tooth structure that cannot be restored with fillings or other types of restorations.
Although there are several types of crowns, porcelain (tooth colored crown) are the most popular. They are highly durable and will last many years, but like most dental restorations, they may eventually need to be replaced. Porcelain crowns are made to match the shape, size, and color of your teeth, giving you a long-lasting, beautiful smile.
Reasons for crowns:
- Broken or fractured teeth.
- Cosmetic enhancement.
- Decayed teeth.
- Fractured fillings.
- Large fillings.
- Tooth has a root canal.
What does getting a crown involve?
A crown procedure usually requires two appointments. Your first appointment will include taking several highly accurate molds (or impressions) that will be used to create your custom crown. A mold will also be used to create a temporary crown which will stay on your tooth for approximately two weeks until your new crown is fabricated by a dental laboratory.
While the tooth is numb, the dentist will prepare the tooth by removing any decay and shaping the surface to properly fit the crown. Once these details are accomplished, your temporary crown will be placed with temporary cement and your bite will be checked to ensure you are biting properly.
At your second appointment, your temporary crown will be removed, the tooth will be cleaned, and your new crown will be carefully placed to ensure the spacing and bite are accurate.
You will be given care instructions and encouraged to have regular dental visits to check your new crown.
Dental Implants
Dental implants are a great way to replace missing teeth and also provide a fixed solution to having removable partial or complete dentures. Implants provide excellent support and stability for these dental appliances.
Dental implants are artificial roots and teeth (usually titanium) that are surgically placed into the upper or lower jaw bone by a dentist or Periodontist – a specialist of the gums and supporting bone. The teeth attached to implants are very natural looking and often enhance or restore a patient’s smile!
Dental implants are strong and durable and will last many years. On occasion, they will have to be re-tightened or replaced due to normal wear.
Reasons for dental implants:
- Replace one or more missing teeth without affecting adjacent teeth.
- Resolve joint pain or bite problems caused by teeth shifting into missing tooth space.
- Restore a patient’s confident smile.
- Restore chewing, speech, and digestion.
- Restore or enhance facial tissues.
- Support a bridge or denture, making it more secure and comfortable.
What does getting dental implants involve?
The process of getting implants requires a number of visits over several months.
X-rays and impressions (molds) are taken of the jaw and teeth to determine bone, gum tissue, and spacing available for an implant. While the area is numb, the implant will be surgically placed into the bone and allowed to heal and integrate itself for up to six months. Depending on the type of implant, a second surgery may be required in order to place the “post” that will hold the artificial tooth in place. With other implants the post and anchor are already attached and placed at the same time.
After several weeks of healing the artificial teeth are made and fitted to the post portion of the anchor. Because several fittings may be required, this step may take one to two months to complete. After a healing period, the artificial teeth are securely attached to the implant, providing excellent stability and comfort to the patient.
You will receive care instructions when your treatment is completed. Good oral hygiene and eating habits, alongside regular dental visits, will aid in the life of your new implant.
If you have questions about dental implants or would like to schedule a consultation, please contact our office.
Dentures & Partial Dentures
A denture is a removable dental appliance and a replacement for missing teeth and surrounding tissue. They are made to closely resemble your natural teeth and may even enhance your smile.
There are two types of dentures – complete and partial dentures. Complete dentures are used when all of the teeth are missing, while partial dentures are used when some natural teeth remain. A partial denture not only fills in the spaces created by missing teeth, it prevents other teeth from shifting.
A complete denture can be either “conventional” or “immediate.” A conventional type is made after the teeth have been removed and the gum tissue has healed (usually takes 4 to 6 weeks). During this time, the patient will go without teeth. Immediate dentures are made in advance and immediately placed after the teeth are removed, thus preventing the patient from having to be without teeth during the healing process. Once the tissues shrink and heal, adjustments will have to be made.
Dentures are very durable appliances and will last many years but may have to be remade, repaired, or readjusted due to normal wear.
Reasons for dentures:
- Complete Denture – Loss of all teeth in an arch.
- Partial Denture – Loss of several teeth in an arch.
- Enhancing smile and facial tissues.
- Improving chewing, speech, and digestion.
What does getting dentures involve?
The process of getting dentures requires several appointments, usually over a period of several weeks. Highly accurate impressions (molds) and measurements are taken and used to create your custom denture. Several “try-in” appointments may be necessary to ensure proper shape, color, and fit. At the final appointment, your dentist will precisely adjust and place the completed denture, ensuring a natural and comfortable fit.
It is normal to experience increased saliva flow, some soreness, and possible speech and chewing difficulty, however this will subside as your muscles and tissues get used to the new dentures.
You will be given care instructions for your new dentures. Proper cleaning of your new dental appliance, good oral hygiene, and regular dental visits will aid in the life of your new dentures.
Note: Patients depicted in photos have provided their consent to display their pictures online. Results may vary.
Dentures & Partial Dentures
Before
After
Before
After
Before: Patient needs Upper and Lower Arch Rehabilitation.
After: Great smile, chewing function, and facial tissue support possible with an Upper Denture that is supported with Implants and Lower Implants and Crowns.
Patient Photos Depicting:
Crowns (Caps)
A crown (or cap) is a covering that encases the entire tooth surface, restoring it to its original shape and size. A crown protects and strengthens tooth structure that cannot be restored with fillings or other types of restorations.
Although there are several types of crowns, porcelain (tooth colored crown) are the most popular. They are highly durable and will last many years, but like most dental restorations, they may eventually need to be replaced. Porcelain crowns are made to match the shape, size, and color of your teeth, giving you a long-lasting, beautiful smile.
Reasons for crowns:
- Broken or fractured teeth.
- Cosmetic enhancement.
- Decayed teeth.
- Fractured fillings.
- Large fillings.
- Tooth has a root canal.
What does getting a crown involve?
A crown procedure usually requires two appointments. Your first appointment will include taking several highly accurate molds (or impressions) that will be used to create your custom crown. A mold will also be used to create a temporary crown which will stay on your tooth for approximately two weeks until your new crown is fabricated by a dental laboratory.
While the tooth is numb, the dentist will prepare the tooth by removing any decay and shaping the surface to properly fit the crown. Once these details are accomplished, your temporary crown will be placed with temporary cement and your bite will be checked to ensure you are biting properly.
At your second appointment, your temporary crown will be removed, the tooth will be cleaned, and your new crown will be carefully placed to ensure the spacing and bite are accurate.
You will be given care instructions and encouraged to have regular dental visits to check your new crown.
Dental Implants
Dental implants are a great way to replace missing teeth and also provide a fixed solution to having removable partial or complete dentures. Implants provide excellent support and stability for these dental appliances.
Dental implants are artificial roots and teeth (usually titanium) that are surgically placed into the upper or lower jaw bone by a dentist or Periodontist – a specialist of the gums and supporting bone. The teeth attached to implants are very natural looking and often enhance or restore a patient’s smile!
Dental implants are strong and durable and will last many years. On occasion, they will have to be re-tightened or replaced due to normal wear.
Reasons for dental implants:
- Replace one or more missing teeth without affecting adjacent teeth.
- Resolve joint pain or bite problems caused by teeth shifting into missing tooth space.
- Restore a patient’s confident smile.
- Restore chewing, speech, and digestion.
- Restore or enhance facial tissues.
- Support a bridge or denture, making it more secure and comfortable.
What does getting dental implants involve?
The process of getting implants requires a number of visits over several months.
X-rays and impressions (molds) are taken of the jaw and teeth to determine bone, gum tissue, and spacing available for an implant. While the area is numb, the implant will be surgically placed into the bone and allowed to heal and integrate itself for up to six months. Depending on the type of implant, a second surgery may be required in order to place the “post” that will hold the artificial tooth in place. With other implants the post and anchor are already attached and placed at the same time.
After several weeks of healing the artificial teeth are made and fitted to the post portion of the anchor. Because several fittings may be required, this step may take one to two months to complete. After a healing period, the artificial teeth are securely attached to the implant, providing excellent stability and comfort to the patient.
You will receive care instructions when your treatment is completed. Good oral hygiene and eating habits, alongside regular dental visits, will aid in the life of your new implant.
If you have questions about dental implants or would like to schedule a consultation, please contact our office.
Dentures & Partial Dentures
A denture is a removable dental appliance and a replacement for missing teeth and surrounding tissue. They are made to closely resemble your natural teeth and may even enhance your smile.
There are two types of dentures – complete and partial dentures. Complete dentures are used when all of the teeth are missing, while partial dentures are used when some natural teeth remain. A partial denture not only fills in the spaces created by missing teeth, it prevents other teeth from shifting.
A complete denture can be either “conventional” or “immediate.” A conventional type is made after the teeth have been removed and the gum tissue has healed (usually takes 4 to 6 weeks). During this time, the patient will go without teeth. Immediate dentures are made in advance and immediately placed after the teeth are removed, thus preventing the patient from having to be without teeth during the healing process. Once the tissues shrink and heal, adjustments will have to be made.
Dentures are very durable appliances and will last many years but may have to be remade, repaired, or readjusted due to normal wear.
Reasons for dentures:
- Complete Denture – Loss of all teeth in an arch.
- Partial Denture – Loss of several teeth in an arch.
- Enhancing smile and facial tissues.
- Improving chewing, speech, and digestion.
What does getting dentures involve?
The process of getting dentures requires several appointments, usually over a period of several weeks. Highly accurate impressions (molds) and measurements are taken and used to create your custom denture. Several “try-in” appointments may be necessary to ensure proper shape, color, and fit. At the final appointment, your dentist will precisely adjust and place the completed denture, ensuring a natural and comfortable fit.
It is normal to experience increased saliva flow, some soreness, and possible speech and chewing difficulty, however this will subside as your muscles and tissues get used to the new dentures.
You will be given care instructions for your new dentures. Proper cleaning of your new dental appliance, good oral hygiene, and regular dental visits will aid in the life of your new dentures.
Note: Patients depicted in photos have provided their consent to display their pictures online. Results may vary.
Fixed Bridges
Before
After
Before
After
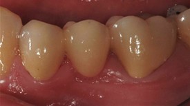
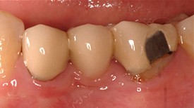
Before: 3 Unit bridge with chipped porcelain molar (supporting metal showing on molar tooth), poor enamel color match to patient’s natural teeth, and poor fit around the patient’s gumline.
After: Replaced Bridge with an All Porcelain Bridge. The new bridge now also matches the patient’s natural tooth color and was designed to properly fit around the gumline. Proper fit aids in decreasing decay and the ease of the patient’s ability to clean around a bridge.
Patient Photos Depicting:
Fixed Bridges
A dental bridge is a fixed (non-removable) appliance and is an excellent way to replace missing teeth.
There are several types of bridges. You and your dentist will discuss the best options for your particular case. The “traditional bridge” is the most popular type and is usually made of porcelain fused to metal. This type of bridge consists of two crowns that go over two anchoring teeth (abutment teeth) and are attached to pontics (artificial teeth), filling the gap created by one or more missing teeth.
Dental bridges are highly durable and will last many years; however, they may need replacement or need to be re-cemented due to normal wear.
Reasons for a fixed bridge:
- Fill space of missing teeth.
- Maintain facial shape.
- Prevent remaining teeth from drifting out of position.
- Restore chewing and speaking ability.
- Restore your smile.
- Upgrade from a removable partial denture to a permanent dental appliance.
What does getting a crown involve?
Getting a bridge usually requires two or more visits. While the teeth are numb, the two anchoring teeth are prepared by removing a portion of enamel to allow for a crown. Next, a highly accurate impression (mold) is made which will be sent to a dental laboratory where the bridge will be fabricated. In addition, a temporary bridge will be made and worn for several weeks until your next appointment.
At the second visit, your permanent bridge will be carefully checked, adjusted, and cemented to achieve a proper fit. Occasionally your dentist may only temporarily cement the bridge, allowing your teeth and tissue time to get used to the new bridge. The new bridge will be permanently cemented at a later time.
You will receive care instructions at the conclusion of the procedure. Proper brushing, flossing, and regular dental visits will aid in the life of your new, permanent bridge.
Note: Patients depicted in photos have provided their consent to display their pictures online. Results may vary.
Crowns (Caps)
Bad breath (halitosis) can be an unpleasant and embarrassing condition. Many of us may not realize that we have bad breath, but everyone has it from time to time, especially in the morning. There are various reasons one may have bad breath, but in healthy people, the major reason is due to……
Crown (Caps)
Before
After
Before: Patient needs a Single Tooth Replacement of one Upper Central Incisor.
After: Smile and function restored with a Single Implant and an All Porcelain Crown (Cap) that fits securely over the implant.
Patient Photos Depicting:
Crowns (Caps)
A crown (or cap) is a covering that encases the entire tooth surface, restoring it to its original shape and size. A crown protects and strengthens tooth structure that cannot be restored with fillings or other types of restorations.
Although there are several types of crowns, porcelain (tooth colored crown) are the most popular. They are highly durable and will last many years, but like most dental restorations, they may eventually need to be replaced. Porcelain crowns are made to match the shape, size, and color of your teeth, giving you a long-lasting, beautiful smile.
Reasons for crowns:
- Broken or fractured teeth.
- Cosmetic enhancement.
- Decayed teeth.
- Fractured fillings.
- Large fillings.
- Tooth has a root canal.
What does getting a crown involve?
A crown procedure usually requires two appointments. Your first appointment will include taking several highly accurate molds (or impressions) that will be used to create your custom crown. A mold will also be used to create a temporary crown which will stay on your tooth for approximately two weeks until your new crown is fabricated by a dental laboratory.
While the tooth is numb, the dentist will prepare the tooth by removing any decay and shaping the surface to properly fit the crown. Once these details are accomplished, your temporary crown will be placed with temporary cement and your bite will be checked to ensure you are biting properly.
At your second appointment, your temporary crown will be removed, the tooth will be cleaned, and your new crown will be carefully placed to ensure the spacing and bite are accurate.
You will be given care instructions and encouraged to have regular dental visits to check your new crown.
Dental Implants
Dental implants are a great way to replace missing teeth and also provide a fixed solution to having removable partial or complete dentures. Implants provide excellent support and stability for these dental appliances.
Dental implants are artificial roots and teeth (usually titanium) that are surgically placed into the upper or lower jaw bone by a dentist or Periodontist – a specialist of the gums and supporting bone. The teeth attached to implants are very natural looking and often enhance or restore a patient’s smile!
Dental implants are strong and durable and will last many years. On occasion, they will have to be re-tightened or replaced due to normal wear.
Reasons for dental implants:
- Replace one or more missing teeth without affecting adjacent teeth.
- Resolve joint pain or bite problems caused by teeth shifting into missing tooth space.
- Restore a patient’s confident smile.
- Restore chewing, speech, and digestion.
- Restore or enhance facial tissues.
- Support a bridge or denture, making it more secure and comfortable.
What does getting dental implants involve?
The process of getting implants requires a number of visits over several months.
X-rays and impressions (molds) are taken of the jaw and teeth to determine bone, gum tissue, and spacing available for an implant. While the area is numb, the implant will be surgically placed into the bone and allowed to heal and integrate itself for up to six months. Depending on the type of implant, a second surgery may be required in order to place the “post” that will hold the artificial tooth in place. With other implants the post and anchor are already attached and placed at the same time.
After several weeks of healing the artificial teeth are made and fitted to the post portion of the anchor. Because several fittings may be required, this step may take one to two months to complete. After a healing period, the artificial teeth are securely attached to the implant, providing excellent stability and comfort to the patient.
You will receive care instructions when your treatment is completed. Good oral hygiene and eating habits, alongside regular dental visits, will aid in the life of your new implant.
If you have questions about dental implants or would like to schedule a consultation, please contact our office.
Note: Patients depicted in photos have provided their consent to display their pictures online. Results may vary.
Before
After
Before
After
Before: Patient needs Upper and Lower Arch Rehabilitation.
After: Great smile, chewing function, and facial tissue support possible with an Upper Denture that is supported with Implants and Lower Implants and Crowns.
Patient Photos Depicting:
Crowns (Caps)
A crown (or cap) is a covering that encases the entire tooth surface, restoring it to its original shape and size. A crown protects and strengthens tooth structure that cannot be restored with fillings or other types of restorations.
Although there are several types of crowns, porcelain (tooth colored crown) are the most popular. They are highly durable and will last many years, but like most dental restorations, they may eventually need to be replaced. Porcelain crowns are made to match the shape, size, and color of your teeth, giving you a long-lasting, beautiful smile.
Reasons for crowns:
- Broken or fractured teeth.
- Cosmetic enhancement.
- Decayed teeth.
- Fractured fillings.
- Large fillings.
- Tooth has a root canal.
What does getting a crown involve?
A crown procedure usually requires two appointments. Your first appointment will include taking several highly accurate molds (or impressions) that will be used to create your custom crown. A mold will also be used to create a temporary crown which will stay on your tooth for approximately two weeks until your new crown is fabricated by a dental laboratory.
While the tooth is numb, the dentist will prepare the tooth by removing any decay and shaping the surface to properly fit the crown. Once these details are accomplished, your temporary crown will be placed with temporary cement and your bite will be checked to ensure you are biting properly.
At your second appointment, your temporary crown will be removed, the tooth will be cleaned, and your new crown will be carefully placed to ensure the spacing and bite are accurate.
You will be given care instructions and encouraged to have regular dental visits to check your new crown.
Dental Implants
Dental implants are a great way to replace missing teeth and also provide a fixed solution to having removable partial or complete dentures. Implants provide excellent support and stability for these dental appliances.
Dental implants are artificial roots and teeth (usually titanium) that are surgically placed into the upper or lower jaw bone by a dentist or Periodontist – a specialist of the gums and supporting bone. The teeth attached to implants are very natural looking and often enhance or restore a patient’s smile!
Dental implants are strong and durable and will last many years. On occasion, they will have to be re-tightened or replaced due to normal wear.
Reasons for dental implants:
- Replace one or more missing teeth without affecting adjacent teeth.
- Resolve joint pain or bite problems caused by teeth shifting into missing tooth space.
- Restore a patient’s confident smile.
- Restore chewing, speech, and digestion.
- Restore or enhance facial tissues.
- Support a bridge or denture, making it more secure and comfortable.
What does getting dental implants involve?
The process of getting implants requires a number of visits over several months.
X-rays and impressions (molds) are taken of the jaw and teeth to determine bone, gum tissue, and spacing available for an implant. While the area is numb, the implant will be surgically placed into the bone and allowed to heal and integrate itself for up to six months. Depending on the type of implant, a second surgery may be required in order to place the “post” that will hold the artificial tooth in place. With other implants the post and anchor are already attached and placed at the same time.
After several weeks of healing the artificial teeth are made and fitted to the post portion of the anchor. Because several fittings may be required, this step may take one to two months to complete. After a healing period, the artificial teeth are securely attached to the implant, providing excellent stability and comfort to the patient.
You will receive care instructions when your treatment is completed. Good oral hygiene and eating habits, alongside regular dental visits, will aid in the life of your new implant.
If you have questions about dental implants or would like to schedule a consultation, please contact our office.
Dentures & Partial Dentures
A denture is a removable dental appliance and a replacement for missing teeth and surrounding tissue. They are made to closely resemble your natural teeth and may even enhance your smile.
There are two types of dentures – complete and partial dentures. Complete dentures are used when all of the teeth are missing, while partial dentures are used when some natural teeth remain. A partial denture not only fills in the spaces created by missing teeth, it prevents other teeth from shifting.
A complete denture can be either “conventional” or “immediate.” A conventional type is made after the teeth have been removed and the gum tissue has healed (usually takes 4 to 6 weeks). During this time, the patient will go without teeth. Immediate dentures are made in advance and immediately placed after the teeth are removed, thus preventing the patient from having to be without teeth during the healing process. Once the tissues shrink and heal, adjustments will have to be made.
Dentures are very durable appliances and will last many years but may have to be remade, repaired, or readjusted due to normal wear.
Reasons for dentures:
- Complete Denture – Loss of all teeth in an arch.
- Partial Denture – Loss of several teeth in an arch.
- Enhancing smile and facial tissues.
- Improving chewing, speech, and digestion.
What does getting dentures involve?
The process of getting dentures requires several appointments, usually over a period of several weeks. Highly accurate impressions (molds) and measurements are taken and used to create your custom denture. Several “try-in” appointments may be necessary to ensure proper shape, color, and fit. At the final appointment, your dentist will precisely adjust and place the completed denture, ensuring a natural and comfortable fit.
It is normal to experience increased saliva flow, some soreness, and possible speech and chewing difficulty, however this will subside as your muscles and tissues get used to the new dentures.
You will be given care instructions for your new dentures. Proper cleaning of your new dental appliance, good oral hygiene, and regular dental visits will aid in the life of your new dentures.
Note: Patients depicted in photos have provided their consent to display their pictures online. Results may vary.
Dental Implants
Bad breath (halitosis) can be an unpleasant and embarrassing condition. Many of us may not realize that we have bad breath, but everyone has it from time to time, especially in the morning. There are various reasons one may have bad breath, but in healthy people, the major reason is due to……
Dental Implants
Before
After
Before: Patient needs a Single Tooth Replacement of one Upper Central Incisor.
After: Smile and function restored with a Single Implant and an All Porcelain Crown (Cap) that fits securely over the implant.
Patient Photos Depicting:
Crowns (Caps)
A crown (or cap) is a covering that encases the entire tooth surface, restoring it to its original shape and size. A crown protects and strengthens tooth structure that cannot be restored with fillings or other types of restorations.
Although there are several types of crowns, porcelain (tooth colored crown) are the most popular. They are highly durable and will last many years, but like most dental restorations, they may eventually need to be replaced. Porcelain crowns are made to match the shape, size, and color of your teeth, giving you a long-lasting, beautiful smile.
Reasons for crowns:
- Broken or fractured teeth.
- Cosmetic enhancement.
- Decayed teeth.
- Fractured fillings.
- Large fillings.
- Tooth has a root canal.
What does getting a crown involve?
A crown procedure usually requires two appointments. Your first appointment will include taking several highly accurate molds (or impressions) that will be used to create your custom crown. A mold will also be used to create a temporary crown which will stay on your tooth for approximately two weeks until your new crown is fabricated by a dental laboratory.
While the tooth is numb, the dentist will prepare the tooth by removing any decay and shaping the surface to properly fit the crown. Once these details are accomplished, your temporary crown will be placed with temporary cement and your bite will be checked to ensure you are biting properly.
At your second appointment, your temporary crown will be removed, the tooth will be cleaned, and your new crown will be carefully placed to ensure the spacing and bite are accurate.
You will be given care instructions and encouraged to have regular dental visits to check your new crown.
Dental Implants
Dental implants are a great way to replace missing teeth and also provide a fixed solution to having removable partial or complete dentures. Implants provide excellent support and stability for these dental appliances.
Dental implants are artificial roots and teeth (usually titanium) that are surgically placed into the upper or lower jaw bone by a dentist or Periodontist – a specialist of the gums and supporting bone. The teeth attached to implants are very natural looking and often enhance or restore a patient’s smile!
Dental implants are strong and durable and will last many years. On occasion, they will have to be re-tightened or replaced due to normal wear.
Reasons for dental implants:
- Replace one or more missing teeth without affecting adjacent teeth.
- Resolve joint pain or bite problems caused by teeth shifting into missing tooth space.
- Restore a patient’s confident smile.
- Restore chewing, speech, and digestion.
- Restore or enhance facial tissues.
- Support a bridge or denture, making it more secure and comfortable.
What does getting dental implants involve?
The process of getting implants requires a number of visits over several months.
X-rays and impressions (molds) are taken of the jaw and teeth to determine bone, gum tissue, and spacing available for an implant. While the area is numb, the implant will be surgically placed into the bone and allowed to heal and integrate itself for up to six months. Depending on the type of implant, a second surgery may be required in order to place the “post” that will hold the artificial tooth in place. With other implants the post and anchor are already attached and placed at the same time.
After several weeks of healing the artificial teeth are made and fitted to the post portion of the anchor. Because several fittings may be required, this step may take one to two months to complete. After a healing period, the artificial teeth are securely attached to the implant, providing excellent stability and comfort to the patient.
You will receive care instructions when your treatment is completed. Good oral hygiene and eating habits, alongside regular dental visits, will aid in the life of your new implant.
If you have questions about dental implants or would like to schedule a consultation, please contact our office.
Note: Patients depicted in photos have provided their consent to display their pictures online. Results may vary.
Before
After
Before
After
Before: Patient needs Upper and Lower Arch Rehabilitation.
After: Great smile, chewing function, and facial tissue support possible with an Upper Denture that is supported with Implants and Lower Implants and Crowns.
Patient Photos Depicting:
Crowns (Caps)
A crown (or cap) is a covering that encases the entire tooth surface, restoring it to its original shape and size. A crown protects and strengthens tooth structure that cannot be restored with fillings or other types of restorations.
Although there are several types of crowns, porcelain (tooth colored crown) are the most popular. They are highly durable and will last many years, but like most dental restorations, they may eventually need to be replaced. Porcelain crowns are made to match the shape, size, and color of your teeth, giving you a long-lasting, beautiful smile.
Reasons for crowns:
- Broken or fractured teeth.
- Cosmetic enhancement.
- Decayed teeth.
- Fractured fillings.
- Large fillings.
- Tooth has a root canal.
What does getting a crown involve?
A crown procedure usually requires two appointments. Your first appointment will include taking several highly accurate molds (or impressions) that will be used to create your custom crown. A mold will also be used to create a temporary crown which will stay on your tooth for approximately two weeks until your new crown is fabricated by a dental laboratory.
While the tooth is numb, the dentist will prepare the tooth by removing any decay and shaping the surface to properly fit the crown. Once these details are accomplished, your temporary crown will be placed with temporary cement and your bite will be checked to ensure you are biting properly.
At your second appointment, your temporary crown will be removed, the tooth will be cleaned, and your new crown will be carefully placed to ensure the spacing and bite are accurate.
You will be given care instructions and encouraged to have regular dental visits to check your new crown.
Dental Implants
Dental implants are a great way to replace missing teeth and also provide a fixed solution to having removable partial or complete dentures. Implants provide excellent support and stability for these dental appliances.
Dental implants are artificial roots and teeth (usually titanium) that are surgically placed into the upper or lower jaw bone by a dentist or Periodontist – a specialist of the gums and supporting bone. The teeth attached to implants are very natural looking and often enhance or restore a patient’s smile!
Dental implants are strong and durable and will last many years. On occasion, they will have to be re-tightened or replaced due to normal wear.
Reasons for dental implants:
- Replace one or more missing teeth without affecting adjacent teeth.
- Resolve joint pain or bite problems caused by teeth shifting into missing tooth space.
- Restore a patient’s confident smile.
- Restore chewing, speech, and digestion.
- Restore or enhance facial tissues.
- Support a bridge or denture, making it more secure and comfortable.
What does getting dental implants involve?
The process of getting implants requires a number of visits over several months.
X-rays and impressions (molds) are taken of the jaw and teeth to determine bone, gum tissue, and spacing available for an implant. While the area is numb, the implant will be surgically placed into the bone and allowed to heal and integrate itself for up to six months. Depending on the type of implant, a second surgery may be required in order to place the “post” that will hold the artificial tooth in place. With other implants the post and anchor are already attached and placed at the same time.
After several weeks of healing the artificial teeth are made and fitted to the post portion of the anchor. Because several fittings may be required, this step may take one to two months to complete. After a healing period, the artificial teeth are securely attached to the implant, providing excellent stability and comfort to the patient.
You will receive care instructions when your treatment is completed. Good oral hygiene and eating habits, alongside regular dental visits, will aid in the life of your new implant.
If you have questions about dental implants or would like to schedule a consultation, please contact our office.
Dentures & Partial Dentures
A denture is a removable dental appliance and a replacement for missing teeth and surrounding tissue. They are made to closely resemble your natural teeth and may even enhance your smile.
There are two types of dentures – complete and partial dentures. Complete dentures are used when all of the teeth are missing, while partial dentures are used when some natural teeth remain. A partial denture not only fills in the spaces created by missing teeth, it prevents other teeth from shifting.
A complete denture can be either “conventional” or “immediate.” A conventional type is made after the teeth have been removed and the gum tissue has healed (usually takes 4 to 6 weeks). During this time, the patient will go without teeth. Immediate dentures are made in advance and immediately placed after the teeth are removed, thus preventing the patient from having to be without teeth during the healing process. Once the tissues shrink and heal, adjustments will have to be made.
Dentures are very durable appliances and will last many years but may have to be remade, repaired, or readjusted due to normal wear.
Reasons for dentures:
- Complete Denture – Loss of all teeth in an arch.
- Partial Denture – Loss of several teeth in an arch.
- Enhancing smile and facial tissues.
- Improving chewing, speech, and digestion.
What does getting dentures involve?
The process of getting dentures requires several appointments, usually over a period of several weeks. Highly accurate impressions (molds) and measurements are taken and used to create your custom denture. Several “try-in” appointments may be necessary to ensure proper shape, color, and fit. At the final appointment, your dentist will precisely adjust and place the completed denture, ensuring a natural and comfortable fit.
It is normal to experience increased saliva flow, some soreness, and possible speech and chewing difficulty, however this will subside as your muscles and tissues get used to the new dentures.
You will be given care instructions for your new dentures. Proper cleaning of your new dental appliance, good oral hygiene, and regular dental visits will aid in the life of your new dentures.
Note: Patients depicted in photos have provided their consent to display their pictures online. Results may vary.
Dentures & Partial Dentures
Dentures & Partial Dentures
Before
After
Before
After
Before: Patient needs Upper and Lower Arch Rehabilitation.
After: Great smile, chewing function, and facial tissue support possible with an Upper Denture that is supported with Implants and Lower Implants and Crowns.
Patient Photos Depicting:
Crowns (Caps)
A crown (or cap) is a covering that encases the entire tooth surface, restoring it to its original shape and size. A crown protects and strengthens tooth structure that cannot be restored with fillings or other types of restorations.
Although there are several types of crowns, porcelain (tooth colored crown) are the most popular. They are highly durable and will last many years, but like most dental restorations, they may eventually need to be replaced. Porcelain crowns are made to match the shape, size, and color of your teeth, giving you a long-lasting, beautiful smile.
Reasons for crowns:
- Broken or fractured teeth.
- Cosmetic enhancement.
- Decayed teeth.
- Fractured fillings.
- Large fillings.
- Tooth has a root canal.
What does getting a crown involve?
A crown procedure usually requires two appointments. Your first appointment will include taking several highly accurate molds (or impressions) that will be used to create your custom crown. A mold will also be used to create a temporary crown which will stay on your tooth for approximately two weeks until your new crown is fabricated by a dental laboratory.
While the tooth is numb, the dentist will prepare the tooth by removing any decay and shaping the surface to properly fit the crown. Once these details are accomplished, your temporary crown will be placed with temporary cement and your bite will be checked to ensure you are biting properly.
At your second appointment, your temporary crown will be removed, the tooth will be cleaned, and your new crown will be carefully placed to ensure the spacing and bite are accurate.
You will be given care instructions and encouraged to have regular dental visits to check your new crown.
Dental Implants
Dental implants are a great way to replace missing teeth and also provide a fixed solution to having removable partial or complete dentures. Implants provide excellent support and stability for these dental appliances.
Dental implants are artificial roots and teeth (usually titanium) that are surgically placed into the upper or lower jaw bone by a dentist or Periodontist – a specialist of the gums and supporting bone. The teeth attached to implants are very natural looking and often enhance or restore a patient’s smile!
Dental implants are strong and durable and will last many years. On occasion, they will have to be re-tightened or replaced due to normal wear.
Reasons for dental implants:
- Replace one or more missing teeth without affecting adjacent teeth.
- Resolve joint pain or bite problems caused by teeth shifting into missing tooth space.
- Restore a patient’s confident smile.
- Restore chewing, speech, and digestion.
- Restore or enhance facial tissues.
- Support a bridge or denture, making it more secure and comfortable.
What does getting dental implants involve?
The process of getting implants requires a number of visits over several months.
X-rays and impressions (molds) are taken of the jaw and teeth to determine bone, gum tissue, and spacing available for an implant. While the area is numb, the implant will be surgically placed into the bone and allowed to heal and integrate itself for up to six months. Depending on the type of implant, a second surgery may be required in order to place the “post” that will hold the artificial tooth in place. With other implants the post and anchor are already attached and placed at the same time.
After several weeks of healing the artificial teeth are made and fitted to the post portion of the anchor. Because several fittings may be required, this step may take one to two months to complete. After a healing period, the artificial teeth are securely attached to the implant, providing excellent stability and comfort to the patient.
You will receive care instructions when your treatment is completed. Good oral hygiene and eating habits, alongside regular dental visits, will aid in the life of your new implant.
If you have questions about dental implants or would like to schedule a consultation, please contact our office.
Dentures & Partial Dentures
A denture is a removable dental appliance and a replacement for missing teeth and surrounding tissue. They are made to closely resemble your natural teeth and may even enhance your smile.
There are two types of dentures – complete and partial dentures. Complete dentures are used when all of the teeth are missing, while partial dentures are used when some natural teeth remain. A partial denture not only fills in the spaces created by missing teeth, it prevents other teeth from shifting.
A complete denture can be either “conventional” or “immediate.” A conventional type is made after the teeth have been removed and the gum tissue has healed (usually takes 4 to 6 weeks). During this time, the patient will go without teeth. Immediate dentures are made in advance and immediately placed after the teeth are removed, thus preventing the patient from having to be without teeth during the healing process. Once the tissues shrink and heal, adjustments will have to be made.
Dentures are very durable appliances and will last many years but may have to be remade, repaired, or readjusted due to normal wear.
Reasons for dentures:
- Complete Denture – Loss of all teeth in an arch.
- Partial Denture – Loss of several teeth in an arch.
- Enhancing smile and facial tissues.
- Improving chewing, speech, and digestion.
What does getting dentures involve?
The process of getting dentures requires several appointments, usually over a period of several weeks. Highly accurate impressions (molds) and measurements are taken and used to create your custom denture. Several “try-in” appointments may be necessary to ensure proper shape, color, and fit. At the final appointment, your dentist will precisely adjust and place the completed denture, ensuring a natural and comfortable fit.
It is normal to experience increased saliva flow, some soreness, and possible speech and chewing difficulty, however this will subside as your muscles and tissues get used to the new dentures.
You will be given care instructions for your new dentures. Proper cleaning of your new dental appliance, good oral hygiene, and regular dental visits will aid in the life of your new dentures.
Note: Patients depicted in photos have provided their consent to display their pictures online. Results may vary.
Fixed Bridges
Fixed Bridges
Before
After
Before
After
Before: 3 Unit bridge with chipped porcelain molar (supporting metal showing on molar tooth), poor enamel color match to patient’s natural teeth, and poor fit around the patient’s gumline.
After: Replaced Bridge with an All Porcelain Bridge. The new bridge now also matches the patient’s natural tooth color and was designed to properly fit around the gumline. Proper fit aids in decreasing decay and the ease of the patient’s ability to clean around a bridge.
Patient Photos Depicting:
Fixed Bridges
A dental bridge is a fixed (non-removable) appliance and is an excellent way to replace missing teeth.
There are several types of bridges. You and your dentist will discuss the best options for your particular case. The “traditional bridge” is the most popular type and is usually made of porcelain fused to metal. This type of bridge consists of two crowns that go over two anchoring teeth (abutment teeth) and are attached to pontics (artificial teeth), filling the gap created by one or more missing teeth.
Dental bridges are highly durable and will last many years; however, they may need replacement or need to be re-cemented due to normal wear.
Reasons for a fixed bridge:
- Fill space of missing teeth.
- Maintain facial shape.
- Prevent remaining teeth from drifting out of position.
- Restore chewing and speaking ability.
- Restore your smile.
- Upgrade from a removable partial denture to a permanent dental appliance.
What does getting a crown involve?
Getting a bridge usually requires two or more visits. While the teeth are numb, the two anchoring teeth are prepared by removing a portion of enamel to allow for a crown. Next, a highly accurate impression (mold) is made which will be sent to a dental laboratory where the bridge will be fabricated. In addition, a temporary bridge will be made and worn for several weeks until your next appointment.
At the second visit, your permanent bridge will be carefully checked, adjusted, and cemented to achieve a proper fit. Occasionally your dentist may only temporarily cement the bridge, allowing your teeth and tissue time to get used to the new bridge. The new bridge will be permanently cemented at a later time.
You will receive care instructions at the conclusion of the procedure. Proper brushing, flossing, and regular dental visits will aid in the life of your new, permanent bridge.
Note: Patients depicted in photos have provided their consent to display their pictures online. Results may vary.
Porcelain Crowns (Caps)
Fixed Bridges
Before
After
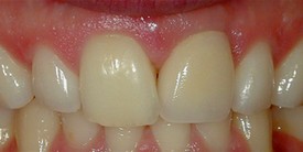
Before: Patient needs Upper Arch Rehabilitation. Presents with Upper Anterior teeth that are stained, incisal edges (tooth edge) are worn down and chipped, and gumline recession is present.
After: Smile restored with placement of 8 Upper All Porcelain Crowns (Caps). Gumline and incisal edges are now uniform. Patient now has longer, better shaped teeth to enhance the smile line and aid in chewing/biting function.
Note: Patients depicted in photos have provided their consent to display their pictures online. Results may vary.
Before
After
Before: Patient needs a Single Tooth Replacement of one Upper Central Incisor.
After: Smile and function restored with a Single Implant and an All Porcelain Crown (Cap) that fits securely over the implant.
Patient Photos Depicting:
Crowns (Caps)
A crown (or cap) is a covering that encases the entire tooth surface, restoring it to its original shape and size. A crown protects and strengthens tooth structure that cannot be restored with fillings or other types of restorations.
Although there are several types of crowns, porcelain (tooth colored crown) are the most popular. They are highly durable and will last many years, but like most dental restorations, they may eventually need to be replaced. Porcelain crowns are made to match the shape, size, and color of your teeth, giving you a long-lasting, beautiful smile.
Reasons for crowns:
- Broken or fractured teeth.
- Cosmetic enhancement.
- Decayed teeth.
- Fractured fillings.
- Large fillings.
- Tooth has a root canal.
What does getting a crown involve?
A crown procedure usually requires two appointments. Your first appointment will include taking several highly accurate molds (or impressions) that will be used to create your custom crown. A mold will also be used to create a temporary crown which will stay on your tooth for approximately two weeks until your new crown is fabricated by a dental laboratory.
While the tooth is numb, the dentist will prepare the tooth by removing any decay and shaping the surface to properly fit the crown. Once these details are accomplished, your temporary crown will be placed with temporary cement and your bite will be checked to ensure you are biting properly.
At your second appointment, your temporary crown will be removed, the tooth will be cleaned, and your new crown will be carefully placed to ensure the spacing and bite are accurate.
You will be given care instructions and encouraged to have regular dental visits to check your new crown.
Dental Implants
Dental implants are a great way to replace missing teeth and also provide a fixed solution to having removable partial or complete dentures. Implants provide excellent support and stability for these dental appliances.
Dental implants are artificial roots and teeth (usually titanium) that are surgically placed into the upper or lower jaw bone by a dentist or Periodontist – a specialist of the gums and supporting bone. The teeth attached to implants are very natural looking and often enhance or restore a patient’s smile!
Dental implants are strong and durable and will last many years. On occasion, they will have to be re-tightened or replaced due to normal wear.
Reasons for dental implants:
- Replace one or more missing teeth without affecting adjacent teeth.
- Resolve joint pain or bite problems caused by teeth shifting into missing tooth space.
- Restore a patient’s confident smile.
- Restore chewing, speech, and digestion.
- Restore or enhance facial tissues.
- Support a bridge or denture, making it more secure and comfortable.
What does getting dental implants involve?
The process of getting implants requires a number of visits over several months.
X-rays and impressions (molds) are taken of the jaw and teeth to determine bone, gum tissue, and spacing available for an implant. While the area is numb, the implant will be surgically placed into the bone and allowed to heal and integrate itself for up to six months. Depending on the type of implant, a second surgery may be required in order to place the “post” that will hold the artificial tooth in place. With other implants the post and anchor are already attached and placed at the same time.
After several weeks of healing the artificial teeth are made and fitted to the post portion of the anchor. Because several fittings may be required, this step may take one to two months to complete. After a healing period, the artificial teeth are securely attached to the implant, providing excellent stability and comfort to the patient.
You will receive care instructions when your treatment is completed. Good oral hygiene and eating habits, alongside regular dental visits, will aid in the life of your new implant.
If you have questions about dental implants or would like to schedule a consultation, please contact our office.
Note: Patients depicted in photos have provided their consent to display their pictures online. Results may vary.
Before
After
Before
After
Before: Patient needs Upper and Lower Arch Rehabilitation.
After: Great smile, chewing function, and facial tissue support possible with an Upper Denture that is supported with Implants and Lower Implants and Crowns.
Patient Photos Depicting:
Crowns (Caps)
A crown (or cap) is a covering that encases the entire tooth surface, restoring it to its original shape and size. A crown protects and strengthens tooth structure that cannot be restored with fillings or other types of restorations.
Although there are several types of crowns, porcelain (tooth colored crown) are the most popular. They are highly durable and will last many years, but like most dental restorations, they may eventually need to be replaced. Porcelain crowns are made to match the shape, size, and color of your teeth, giving you a long-lasting, beautiful smile.
Reasons for crowns:
- Broken or fractured teeth.
- Cosmetic enhancement.
- Decayed teeth.
- Fractured fillings.
- Large fillings.
- Tooth has a root canal.
What does getting a crown involve?
A crown procedure usually requires two appointments. Your first appointment will include taking several highly accurate molds (or impressions) that will be used to create your custom crown. A mold will also be used to create a temporary crown which will stay on your tooth for approximately two weeks until your new crown is fabricated by a dental laboratory.
While the tooth is numb, the dentist will prepare the tooth by removing any decay and shaping the surface to properly fit the crown. Once these details are accomplished, your temporary crown will be placed with temporary cement and your bite will be checked to ensure you are biting properly.
At your second appointment, your temporary crown will be removed, the tooth will be cleaned, and your new crown will be carefully placed to ensure the spacing and bite are accurate.
You will be given care instructions and encouraged to have regular dental visits to check your new crown.
Dental Implants
Dental implants are a great way to replace missing teeth and also provide a fixed solution to having removable partial or complete dentures. Implants provide excellent support and stability for these dental appliances.
Dental implants are artificial roots and teeth (usually titanium) that are surgically placed into the upper or lower jaw bone by a dentist or Periodontist – a specialist of the gums and supporting bone. The teeth attached to implants are very natural looking and often enhance or restore a patient’s smile!
Dental implants are strong and durable and will last many years. On occasion, they will have to be re-tightened or replaced due to normal wear.
Reasons for dental implants:
- Replace one or more missing teeth without affecting adjacent teeth.
- Resolve joint pain or bite problems caused by teeth shifting into missing tooth space.
- Restore a patient’s confident smile.
- Restore chewing, speech, and digestion.
- Restore or enhance facial tissues.
- Support a bridge or denture, making it more secure and comfortable.
What does getting dental implants involve?
The process of getting implants requires a number of visits over several months.
X-rays and impressions (molds) are taken of the jaw and teeth to determine bone, gum tissue, and spacing available for an implant. While the area is numb, the implant will be surgically placed into the bone and allowed to heal and integrate itself for up to six months. Depending on the type of implant, a second surgery may be required in order to place the “post” that will hold the artificial tooth in place. With other implants the post and anchor are already attached and placed at the same time.
After several weeks of healing the artificial teeth are made and fitted to the post portion of the anchor. Because several fittings may be required, this step may take one to two months to complete. After a healing period, the artificial teeth are securely attached to the implant, providing excellent stability and comfort to the patient.
You will receive care instructions when your treatment is completed. Good oral hygiene and eating habits, alongside regular dental visits, will aid in the life of your new implant.
If you have questions about dental implants or would like to schedule a consultation, please contact our office.
Dentures & Partial Dentures
A denture is a removable dental appliance and a replacement for missing teeth and surrounding tissue. They are made to closely resemble your natural teeth and may even enhance your smile.
There are two types of dentures – complete and partial dentures. Complete dentures are used when all of the teeth are missing, while partial dentures are used when some natural teeth remain. A partial denture not only fills in the spaces created by missing teeth, it prevents other teeth from shifting.
A complete denture can be either “conventional” or “immediate.” A conventional type is made after the teeth have been removed and the gum tissue has healed (usually takes 4 to 6 weeks). During this time, the patient will go without teeth. Immediate dentures are made in advance and immediately placed after the teeth are removed, thus preventing the patient from having to be without teeth during the healing process. Once the tissues shrink and heal, adjustments will have to be made.
Dentures are very durable appliances and will last many years but may have to be remade, repaired, or readjusted due to normal wear.
Reasons for dentures:
- Complete Denture – Loss of all teeth in an arch.
- Partial Denture – Loss of several teeth in an arch.
- Enhancing smile and facial tissues.
- Improving chewing, speech, and digestion.
What does getting dentures involve?
The process of getting dentures requires several appointments, usually over a period of several weeks. Highly accurate impressions (molds) and measurements are taken and used to create your custom denture. Several “try-in” appointments may be necessary to ensure proper shape, color, and fit. At the final appointment, your dentist will precisely adjust and place the completed denture, ensuring a natural and comfortable fit.
It is normal to experience increased saliva flow, some soreness, and possible speech and chewing difficulty, however this will subside as your muscles and tissues get used to the new dentures.
You will be given care instructions for your new dentures. Proper cleaning of your new dental appliance, good oral hygiene, and regular dental visits will aid in the life of your new dentures.
Note: Patients depicted in photos have provided their consent to display their pictures online. Results may vary.
Porcelain Fixed Bridges
Before
After
Before
After
Before: 3 Unit bridge with chipped porcelain molar (supporting metal showing on molar tooth), poor enamel color match to patient’s natural teeth, and poor fit around the patient’s gumline.
After: Replaced Bridge with an All Porcelain Bridge. The new bridge now also matches the patient’s natural tooth color and was designed to properly fit around the gumline. Proper fit aids in decreasing decay and the ease of the patient’s ability to clean around a bridge.
Patient Photos Depicting:
Fixed Bridges
A dental bridge is a fixed (non-removable) appliance and is an excellent way to replace missing teeth.
There are several types of bridges. You and your dentist will discuss the best options for your particular case. The “traditional bridge” is the most popular type and is usually made of porcelain fused to metal. This type of bridge consists of two crowns that go over two anchoring teeth (abutment teeth) and are attached to pontics (artificial teeth), filling the gap created by one or more missing teeth.
Dental bridges are highly durable and will last many years; however, they may need replacement or need to be re-cemented due to normal wear.
Reasons for a fixed bridge:
- Fill space of missing teeth.
- Maintain facial shape.
- Prevent remaining teeth from drifting out of position.
- Restore chewing and speaking ability.
- Restore your smile.
- Upgrade from a removable partial denture to a permanent dental appliance.
What does getting a crown involve?
Getting a bridge usually requires two or more visits. While the teeth are numb, the two anchoring teeth are prepared by removing a portion of enamel to allow for a crown. Next, a highly accurate impression (mold) is made which will be sent to a dental laboratory where the bridge will be fabricated. In addition, a temporary bridge will be made and worn for several weeks until your next appointment.
At the second visit, your permanent bridge will be carefully checked, adjusted, and cemented to achieve a proper fit. Occasionally your dentist may only temporarily cement the bridge, allowing your teeth and tissue time to get used to the new bridge. The new bridge will be permanently cemented at a later time.
You will receive care instructions at the conclusion of the procedure. Proper brushing, flossing, and regular dental visits will aid in the life of your new, permanent bridge.
Note: Patients depicted in photos have provided their consent to display their pictures online. Results may vary.
Porcelain Fixed Bridges
Before
After
Before
After
Before: 3 Unit bridge with chipped porcelain molar (supporting metal showing on molar tooth), poor enamel color match to patient’s natural teeth, and poor fit around the patient’s gumline.
After: Replaced Bridge with an All Porcelain Bridge. The new bridge now also matches the patient’s natural tooth color and was designed to properly fit around the gumline. Proper fit aids in decreasing decay and the ease of the patient’s ability to clean around a bridge.
Patient Photos Depicting:
Fixed Bridges
A dental bridge is a fixed (non-removable) appliance and is an excellent way to replace missing teeth.
There are several types of bridges. You and your dentist will discuss the best options for your particular case. The “traditional bridge” is the most popular type and is usually made of porcelain fused to metal. This type of bridge consists of two crowns that go over two anchoring teeth (abutment teeth) and are attached to pontics (artificial teeth), filling the gap created by one or more missing teeth.
Dental bridges are highly durable and will last many years; however, they may need replacement or need to be re-cemented due to normal wear.
Reasons for a fixed bridge:
- Fill space of missing teeth.
- Maintain facial shape.
- Prevent remaining teeth from drifting out of position.
- Restore chewing and speaking ability.
- Restore your smile.
- Upgrade from a removable partial denture to a permanent dental appliance.
What does getting a crown involve?
Getting a bridge usually requires two or more visits. While the teeth are numb, the two anchoring teeth are prepared by removing a portion of enamel to allow for a crown. Next, a highly accurate impression (mold) is made which will be sent to a dental laboratory where the bridge will be fabricated. In addition, a temporary bridge will be made and worn for several weeks until your next appointment.
At the second visit, your permanent bridge will be carefully checked, adjusted, and cemented to achieve a proper fit. Occasionally your dentist may only temporarily cement the bridge, allowing your teeth and tissue time to get used to the new bridge. The new bridge will be permanently cemented at a later time.
You will receive care instructions at the conclusion of the procedure. Proper brushing, flossing, and regular dental visits will aid in the life of your new, permanent bridge.